إرشادات مقترحات البحث معلومات خط الزمن الفهارس الوثائق الأقسام

مقاتل من الصحراء
           


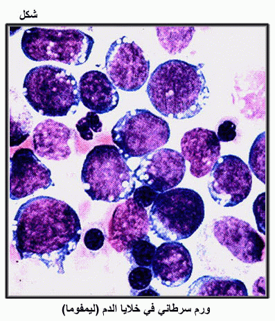
ورم سرطاني في خلايا الدم (ليمفوما)